この記事には広告を含む場合があります。
記事内で紹介する商品を購入することで、当サイトに売り上げの一部が還元されることがあります。
問題51.60歳の男性。突然の激しい頭痛で来院した。
最も考えられる疾患はどれか。
1.脳梗塞
2.脳腫瘍
3.てんかん
4.くも膜下出血
解答4
解説
1.× 脳梗塞より優先されるものが他にある。なぜなら、脳梗塞では「突然の頭痛」は少なく、「言葉が出ない(失語)」「片麻痺やしびれ」などが主症状であるため。
2.× 脳腫瘍より優先されるものが他にある。なぜなら、脳腫瘍は、慢性的に頭痛が悪化していく疾患であるため。
・脳腫瘍とは、脳にできるがんのことである。つまり、脳内に異常な組織が成長する病気で、徐々に症状が現れることが多い。
3.× てんかんより優先されるものが他にある。なぜなら、てんかんでは、痛みを引き起こす病態ではないため。主な症状は、「けいれん発作」や「意識消失」である。
4.〇 正しい。くも膜下出血が最も考えられる疾患である。
・くも膜下出血とは、くも膜と呼ばれる脳表面の膜と脳の空間(くも膜下腔と呼ばれ、脳脊髄液が存在している)に存在する血管が切れて起こる出血である。症状としては、経験したことのないような激しい頭痛、意識障害などがあげられる。治療しない場合は短時間で死に至る。約85%が、破裂脳動脈瘤が原因である。くも膜下出血ではくも膜下腔に血液が流入し、CTでは高吸収域として抽出される。合併症には、①再出血、②脳血管攣縮、③正常圧水頭症などがある。①再出血:発症後24時間以内が多く、死亡率も高い。②脳血管攣縮:72時間後〜2週間後(ピークは8〜10日)が多く、脳血管攣縮による梗塞の好発部位は、「前交通動脈」である。③正常圧水頭症:数週〜数ヶ月後に認知症状、尿失禁、歩行障害などの症状が出現する。
問題52.腰髄損傷に起こる症状で誤っているのはどれか。
1.呼吸障害
2.歩行障害
3.膀胱障害
4.直腸障害
解答1
解説
1.× 呼吸障害は、腰髄損傷に起こる症状ではない。なぜなら、呼吸運動に関与する主な筋肉(横隔膜・肋間筋)は、頸~胸髄上部の神経によって支配されているため。
・横隔膜:C3〜C5の横隔神経支配
・肋間筋:T1〜T11の肋間神経支配
2.〇 歩行障害は、腰髄損傷に起こる症状である。
なぜなら、腰髄(L2〜S2)は大腿・下腿・足の運動を支配する神経根を含んでいるため。
3.〇 膀胱障害は、腰髄損傷に起こる症状である。
なぜなら、膀胱の排尿機能は、S2〜S4の副交感神経・体性神経(骨盤神経・陰部神経)により制御されているため。
4.〇 直腸障害は、腰髄損傷に起こる症状である。なぜなら、直腸や肛門括約筋は、膀胱と同じく仙髄S2〜S4の神経(骨盤神経・陰部神経)によって支配されているため。
椎間板は、外縁部分を構成する線維輪という靱帯様の構造物と、中心部に含まれる軟らかい髄核という構造物から成り立っているが、外縁部分の椎間板の線維輪が弱くなって膨隆したり、線維輪が断裂して中心部の髄核が脱出したりすると、近傍にある神経を圧迫している状態のことを腰椎椎間板ヘルニアという。L4/5とL5/S1が好発部位である。
L3‒L4間(支配神経根L4):膝蓋腱反射低下、大腿~下腿内側の感覚麻痺、大腿四頭筋力低下。
L4‒L5間(支配神経根L5):下腿外側~母趾の感覚麻痺、前脛骨筋、長母指伸筋、長趾伸筋の筋力低下。
L5‒S1間(支配神経根S1):アキレス腱反射低下、足部尺側側の感覚麻痺、下腿三頭筋、長母指屈筋、長趾屈筋の筋力低下。
問題53.シートベルトを着用しないで運転中、交通事故が発生し搬入された。緊急CT検査で後腹膜腔に多量の血腫を認めた。
損傷を受けている臓器はどれか。
1.小腸
2.肝臓
3.膵臓
4.脾臓
解答3
解説
後腹膜器官とは、後腹壁の壁側腹膜より後方に位置する臓器である。
・腹膜内臓器:胃、空腸、回腸、横行結腸、S状結腸、脾臓、卵巣、卵管、虫垂
・半腹膜内臓器:肝臓、膀胱、子宮、直腸、盲腸、上行結腸、下行結腸
・後腹膜器官:十二指腸、腎臓、副腎、膵臓、尿管、腹部大動脈、下大静脈、交感神経幹。
1~2.4.× 小腸/肝臓/脾臓損傷は、後腹膜血腫は起こりにくい。なぜなら、これらは腹膜内臓器であるため。
3.〇 正しい。膵臓は、損傷を受けている臓器である。なぜなら、本症例のCT検査で、後腹膜腔に多量の血腫を認めているため。膵臓は、後腹膜臓器として腹膜の後方に位置しており、損傷時の出血は後腹膜腔に限局する。
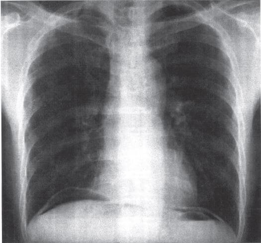
問題54.25歳の男性。バイク運転中に転倒し救急外来に搬入された。来院時上腹部痛を訴えた。施行した立位胸部エックス線写真を下に示す。
所見として正しいのはどれか。

1.心拡大
2.胸水貯留
3.横隔膜ヘルニア
4.腹腔内遊離ガス
解答4
解説

1.× 心拡大(心胸比50%以上)の場合、心陰影が胸郭幅の半分以上を占めるように見られる。
2.× 胸水貯留は、①CPangle(肋骨横隔膜角)が、90°よりも大きい(鈍い)場合や消失していたりする所見で疑われる。ちなみに、胸水貯留は心不全などで生じる。
3.× 横隔膜ヘルニアの場合、胃泡や腸管ガス像が胸腔内に連続して見える
横隔膜ヘルニアとは、生まれつき横隔膜に欠損孔があって、本来お腹の中にあるべき腹部臓器の一部が胸の中に脱出してしまう病気である。多くの場合、横隔膜の後外側を中心に生じるボホダレク孔が欠損孔であるため、別名ボホダレク孔ヘルニアとも呼ばれる。
4.〇 正しい。腹腔内遊離ガスの所見が認められる。
・腹腔内遊離ガス像とは、腹腔内フリーエアーともいい、腹腔内に空気がたまることである。本来、腹腔内の空間には空気がない。しかし、消化管(胃や大腸など)に穴が開くと中の空気が腹腔内に漏れ出す。この時、胸部レントゲンを立位で撮影すると、腹腔内にある空気が上に集まり、横隔膜の下(腹腔内)に空気がたまる。
問題55.脊髄損傷患者の機能で誤っているのはどれか。
1.C3レベルでは呼吸補助が必要となる。
2.C5レベルでは手関節の背屈が可能である。
3.C7レベルでは肘関節の伸展が可能である。
4.C8レベルでは車椅子の駆動が可能である。
解答2
解説
1.〇 C3レベルでは、呼吸補助が必要となる。なぜなら、横隔膜を支配する横隔神経は、C3〜C5から出ているため。また、肋間筋(T1〜T11)も働かないため、胸郭の拡張もできない。
2.× 「C5」ではなくC7レベルで、手関節の背屈が可能である。
3.〇 C7レベルでは、肘関節の伸展が可能である。なぜなら、上腕三頭筋が機能するため。
4.〇 C8レベルでは、車椅子の駆動が可能である。なぜなら、C8レベル損傷では手指屈筋が機能するため。手掌でハンドリムを握って車椅子を自走できる。ちなみに、C5レベル損傷でもハンドリムに工夫を行うことによって平地自走は可能である。

(※引用:Zancolli E : Functional restoration of the upper limbs in traumatic quadriplegia. in Structural and Dynamic Basis of Hand Surgery. 2nd ed, Lippincott, Philadelphia, p229-262, 1979)
国試オタク 