この記事には広告を含む場合があります。
記事内で紹介する商品を購入することで、当サイトに売り上げの一部が還元されることがあります。
問題61.高齢者の急性膝痛の原因にならないのはどれか。
1.化膿性膝関節炎
2.変形性膝関節症
3.大腿骨顆部壊死
4.神経病性関節症
解答4
解説
1.〇 化膿性膝関節炎は、高齢者の急性膝痛の原因である。なぜなら、高齢者では免疫力低下や基礎疾患(糖尿病など)を背景に発症しやすいため。
・化膿性関節炎とは、細菌感染によって関節内に膿が貯留し、急激な炎症と疼痛を生じる疾患である。膝が急に赤く腫れ、熱感・強い圧痛・発熱を伴う。関節穿刺で膿性関節液がみられ、白血球増加・CRP上昇を認める。黄色ブドウ球菌が最も多い起因菌である。
2.〇 変形性膝関節症は、高齢者の急性膝痛の原因である。なぜなら、変形性膝関節症は、軟骨の変性と骨棘形成による慢性疾患だが、活動量増加や滑膜炎の急激な悪化により、一時的に急性の関節痛・腫脹・熱感を呈することがあるため。
3.〇 大腿骨顆部壊死は、高齢者の急性膝痛の原因である。なぜなら、大腿骨顆部壊死は、大腿骨内側顆の骨壊死を伴うため。高齢女性に多く、起床時や歩行開始時の強い膝痛が特徴である。
4.× 神経病性関節症は、高齢者の急性膝痛の原因にならない。
・神経病性関節症(Charcot 関節)は、痛覚、深部感覚、位置覚が侵される神経疾患(脊髄癆、糖尿病、脊髄空洞症など)に合併して発症する。繰り返される外力から起こり、炎症性の関節の腫脹と、高度の関節変形を認める。関節変形は関節可動域制限より過伸展や内外反、脱臼などを呈する。ほとんど痛みがないため、無理な外力がかかり、関節の破壊を来す。反応性の炎症により滑膜が増殖する。炎症に伴い、関節液の貯留がみられる。軟骨は変性・壊死に陥っており、骨や関節の破壊が起こる。
問題62.ペルテス(Pertehes)病の初期症状でないのはどれか。
1.跛行
2.下肢長差
3.大腿部痛
4.股関節可動域制限
解答2
解説
男女比は4:1で、小柄な男児に多く見られる。小児期における血行障害による大腿骨頭・頚部の阻血性壊死(虚血と阻血は同義であり、動脈血量の減少による局所の貧血のこと)が原因で骨頭・頚部の変形が生じる骨端症である。初期症状は、跛行と股関節周囲の疼痛(大腿部にみられる関連痛)、股関節の可動域制限である。治療は、大腿骨頭壊死の修復が主な目標である。治療後は歩容の異常がなく、通常の日常生活を送れるようになることが多い。
1.3.〇 跛行/大腿部痛は、初期症状でみられる。なぜなら、ペルテス病の初期から、壊死による疼痛や運動障害がみられるため。
・跛行(※読み:はこう)とは、怪我や病気などが原因で、正常な歩き方ができず、足を引きずるような異常な歩き方(歩容)をすることである。
2.× 下肢長差は、ペルテス病の「初期症状」ではなく、進行後の所見である。なぜなら、ペルテス病の初期ではまだ骨頭の壊死が限局的で、骨頭の高さは保たれているため。したがって、脚長差は出ない。一方、進行後(骨頭扁平化や変形が起きた後)は、壊死部が陥没・扁平化すると骨頭が小さくなり、下肢長差が生じるようになる。
4.〇 股関節可動域制限は、初期症状でみられる。特に、股関節の外転・内旋制限が出現する。
問題63.多発性骨髄腫の症状でないのはどれか。
1.低血糖
2.易感染症
3.貧血
4.病的骨折
解答1
解説
多発性骨髄腫は、形質細胞がクローン性に増殖するリンパ系腫瘍である。増殖した形質細胞やそこから分泌される単クローン性免疫グロブリンが骨病変、腎機能障害、M蛋白血症などさまざまな病態や症状を引き起こす。多発性骨髄腫の発症年齢は65~70歳がピークで男性が女性より多く約60%を占める。腫瘍の増大、感染症の合併、腎不全、出血、急性白血病化などで死に至る。
主な症状として、頭痛、眼症状の他に①骨組織融解による症状(腰痛・背部痛・圧迫骨折・病的骨折・脊髄圧迫症状・高カルシウム血症など)や②造血抑制、M蛋白増加による症状(貧血・息切れ・動悸・腎機能障害)、易感染性(免疫グロブリン減少)、発熱(白血球減少)、出血傾向(血小板減少)などである。
1.× 低血糖は、多発性骨髄腫の症状でない。なぜなら、多発性骨髄腫は、血糖値とは関係がないため。低血糖の原因として、主に糖尿病やインスリン過剰投与、敗血症などでみられる。
2.〇 易感染症は、多発性骨髄腫の症状である。なぜなら、免疫能低下が起こるため。異常な免疫グロブリン(M蛋白)は、抗体機能を持たず、正常な抗体産生が抑制される。
3.〇 貧血は、多発性骨髄腫の症状である。なぜなら、赤血球の産生が低下するため。骨髄腫細胞が骨髄内で増殖し、正常造血細胞を圧迫・置換する。また、腎障害に伴うエリスロポエチン分泌低下も貧血を助長する。
4.〇 病的骨折は、多発性骨髄腫の症状である。なぜなら、破骨細胞が活性化し、骨吸収が亢進するため。骨髄腫細胞が産生するサイトカインが主に行う。
問題64.示指から小指までの深指屈筋のMMTが5で、フローマン徴候陽性の場合、考えられるのはどれか。
1.前骨間神経麻痺
2.後骨間神経麻痺
3.肘部管症候群
4.ギヨン(Guyon)管症候群
解答4
解説
・深指屈筋の【起始】尺骨の内側面と前面、前腕骨間膜の一部、【停止】第2~5指末節骨底、【作用】第2~5指の両指節間関節の屈曲、【神経】橈側部は正中神経、尺骨部は尺骨神経である。
・Froment徴候とは、母指の内転ができなくなり、母指と示指で紙片を保持させると母指が屈曲位をとることである。
1.× 前骨間神経麻痺とは、涙のしずくサイン陽性(母指と示指の第1関節の屈曲ができなくなる)、皮膚の感覚障害は見られない場合、疑われる神経麻痺のことである。確定診断には、筋電図検査、X線(レントゲン)検査、MRI検査など必要に応じて行う。
2.× 後骨間神経麻痺とは、肘の辺りで橈骨神経から分岐して回外筋にもぐりこみ、指を伸展する筋肉を支配している神経の麻痺であるため、下垂指となる。
3.× 肘部管症候群は、尺骨神経が肘関節背面内側にある尺側骨手根屈筋下の肘部管を通過する際に生じる絞拒性障害である。尺骨神経麻痺を来し、指の開閉運動障害や鷲手変形を生じる。
4.〇 正しい。ギヨン(Guyon)管症候群は、深指屈筋のMMTが5、フローマン徴候陽性である。なぜなら、ギヨン管は、手関節の掌側で、尺骨神経が浅枝(手内筋)と深枝(感覚)に分かれる直前の部位であるため。
・Guyon管(尺骨神経管)とは、豆状骨と有鈎骨、そして豆鈎靱帯によって形成されたトンネル(管)のことである。通るものとして、①尺骨神経、②尺骨動脈である。Guyon管症候群は、尺骨神経麻痺が起こる。尺骨神経麻痺の症状として、Froment徴候陽性や鷲手がみられる。
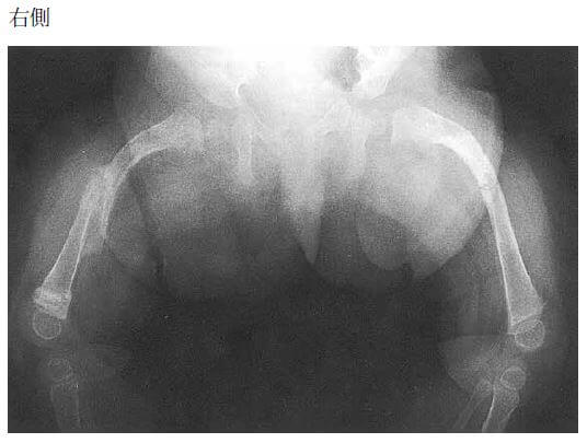
問題65.11か月の乳児。ハイハイをしていて急に泣いたため受診した。左下肢をあまり動かさない。受信時の両大腿骨単純エックス線写真を下に示す。2か月前にも似たような既往があり、右大腿骨骨折に対してギプス固定による治療を受けたという。皮下出血など虐待を疑わせる所見はない。
考えられる診断の合併症で誤っているのはどれか。

1.歯牙形成不全
2.青色強膜
3.三尖手
4.難聴
解答3
解説
・11か月の乳児。
・ハイハイをしていて急に泣いた。
・左下肢:あまり動かさない。
・両大腿骨単純エックス線:大腿骨骨幹部骨折の疑い。
・2か月前:似たような既往があり。
・皮下出血など虐待を疑わせる所見はない。
→本児は、骨形成不全症が疑われる(設問文のみから「骨形成不全症」と判断できないが、選択肢の候補から判断できる)。
→骨形成不全症とは、「骨が非常にもろい」という特徴を持つ、遺伝性の病気である。骨形成不全症の90%以上の症例では、結合組織の主要な成分であるⅠ型コラーゲンの遺伝子変異(COL1A1,COL1A2)により、質的あるいは量的異常が原因で発症するとされている。症状として、骨折のしやすさ、骨の変形などの骨の弱さに加え、成長障害、目の強膜が青い、歯の形成が不十分、難聴、関節皮膚が伸びやすい、背骨の変形による呼吸の障害、心臓の弁(大動脈弁、僧帽弁に多い)の異常による心不全などが引き起こされることがある。
【治療】①内科的治療(骨粗鬆症に使用されるビスホスホネート製剤投与)、②外科的治療(骨折した際に外科的な骨接合術、四肢の変形に対して骨切り術、四肢の長い骨の骨折変形予防を目的とした髄内釘挿入術、背骨の変形に対する矯正固定術など)が行われる。
1.〇 歯牙形成不全は、考えられる診断の合併症である。なぜなら、Ⅰ型コラーゲンは歯の象牙質の構成成分であるため。
・歯牙(象牙質)形成不全とは、歯の内部をつくる象牙質が生まれつきうまく形成されない状態である。歯がもろく、変色しやすく、欠けたりすり減ったりしやすくなる。
2.〇 青色強膜は、考えられる診断の合併症である。なぜなら、Ⅰ型コラーゲン異常による結合組織の脆弱化が原因であるため。強膜の結合組織が菲薄化することで下層の脈絡膜が透けて青く見える。
3.× 三尖手は、軟骨無形成症で起こる。
・軟骨無形成症とは、先天異常(常染色体優性遺伝)で、成長軟骨と言われる部分の変化により、低身長や四肢の短さ、指の短さ(三尖手とは、指が短く、伸ばすと中指と薬指の間にかなりの隙間がある状態)、特異顔貌が引き起こされる病気である。合併症である肥満、水頭症、閉塞性睡眠時無呼吸、中耳炎、脊柱管狭窄症などの治療または予防が必要になる場合がある。軟骨無形成症の人の平均寿命は健常者の平均寿命より約10年で短いといわれている。
4.〇 難聴(伝音難聴または混合性難聴)は、考えられる診断の合併症である。なぜなら、耳小骨(ツチ骨・キヌタ骨・アブミ骨)にもⅠ型コラーゲンが多く含まれるため。したがって、耳小骨が脆弱化・変形する。
国試オタク 