この記事には広告を含む場合があります。
記事内で紹介する商品を購入することで、当サイトに売り上げの一部が還元されることがあります。
問題101.60歳の男性。5か月前に高所から飛び降り踵骨の骨折をした。現在でも疼痛や浮腫がみられるので主治医から後療法を依頼された。
症状持続の要因で考えられるのはどれか。
1.モートン(Morton)病
2.反射性交感神経性ジストロフィー
3.骨壊死
4.コンパートメント症候群
解答2
解説
・60歳の男性。
・5か月前:踵骨骨折。
・現在:疼痛や浮腫がみられる。
・主治医から後療法を依頼。
→ほかの選択肢の消去できる理由もあげられるようにしよう。
1.× モートン(Morton)病と踵骨骨折との関連性は低い。
・モートン病とは、足趾へと向かう神経が、足趾の付け根の部位で圧迫を受けることで生じる神経障害である。 神経が圧迫される原因には、ハイヒールなどの爪先が細くヒールが高い靴を履くことや、外反母趾など骨の形態異常がある。
2.〇 正しい。反射性交感神経性ジストロフィーが、症状持続の要因で考えられる。
・反射性交感神経性ジストロフィーは、骨折などの外傷後に発生する慢性の疼痛症候群で、局所の自律神経系の異常を伴う。典型的な症状は、激しい痛み、腫脹、皮膚温の変化(熱感または冷感)、皮膚色の変化(赤色または紫色)、発汗異常、関節拘縮、毛の異常成長などである。
3.× 骨壊死と踵骨骨折との関連性は低い。なぜなら、踵骨骨折で骨壊死の頻度はまれであるため。
・骨壊死には①症候性(外傷や塞栓症などによる血流途絶が原因)と②特発性(明らかな誘因がない阻血性壊死)がある。血行不良のため骨折後の再生が困難となる。症候性骨壊死が生じやすい部位は、①上腕骨解剖頸、②舟状骨、③大腿骨頸部、④大腿骨顆部、⑤距骨である。
4.× コンパートメント症候群と踵骨骨折との関連性は低い。コンパートメント症候群とは、骨・筋膜・骨間膜に囲まれた「隔室」の内圧が、骨折や血腫形成、浮腫、血行障害などで上昇して、局所の筋・神経組織の循環障害を呈したものをいう。症状として6P【①pain(痛み)、②pallor(蒼白)、③paresthesia(知覚障害)、④paralysis(運動麻痺)、⑤pulselessiiess(末梢動脈の拍動の消失)、⑥puffiniss(腫脹)】があげられ、それらを評価する。
問題102.6歳の女児。3週前に上腕骨顆上伸展型骨折をきたし、徒手整復と経皮的ピンニングが施行された。ギプス固定を本日除去し、後療法開始の指示を主治医から受けた。
後療法に際して最も注意すべき合併症はどれか。
1.ズデック(Sudeck)骨萎縮
2.関節強直
3.骨化性筋炎
4.フォルクマン(Volkmann)拘縮
解答3
解説
・6歳の女児。
・3週前:上腕骨顆上伸展型骨折
・施行:徒手整復と経皮的ピンニング。
・本日:ギプス固定を除去。
・後療法開始の指示を主治医から受けた。
→ほかの選択肢を消去できる理由をあげられるようにしよう。後療法とは、損傷した組織を回復させる治療法のことをいう。後療法には、大きく3つの治療法(物理療法・運動療法・手技療法)があり、それぞれを相乗的に作用させて、早期に社会復帰させることを目的におこなわれる。
1.× ズデック(Sudeck)骨萎縮より優先されるものが他にある。なぜなら、ズデック骨萎縮は、成人に多く小児ではまれであるため。これは、小児は神経・血管の回復力が高いことが影響する。
・ズデック(Sudeck)骨萎縮は、CRPS typeⅠ(複合性局所疼痛症候群)に分類される後遺症の一つである。複合性局所疼痛症候群とは、軟部組織もしくは骨損傷後(Ⅰ型:反射性交感神経性ジストロフィー)または神経損傷後(Ⅱ型:カウザルギー)に発生して、当初の組織損傷から予測されるより重度で長期間持続する、慢性の神経障害性疼痛である。その他の症状として、自律神経性の変化(例:発汗、血管運動異常)、運動機能の変化(例:筋力低下、ジストニア)、萎縮性の変化(例:皮膚または骨萎縮、脱毛、関節拘縮)などがみられる。疼痛をコントロールしながら、左手(疼痛側)の使用機会を増やす介入が必要である。ちなみに、Sudeck骨萎縮とは、骨折などの外傷、または、その手術の後に、急速な自発痛、運動痛、浮腫とともに著明な骨萎縮をきたす場合の骨変化のことである。骨折に合併した自律神経系の血管運動神経失調によって、末梢血管の血流不全から起こるものといわれている。
2.× 関節強直より優先されるものが他にある。なぜなら、関節拘縮は、上腕骨外科頸外転型骨折の後でよくみられるため。ほかの上腕骨外科頚骨折外転型の合併症の一つに、腱板損傷があげられる。腱板損傷により肩関節の可動域制限をきたし、関節拘縮をきたしやすくなる。
3.〇 正しい。骨化性筋炎が、後療法に際して最も注意すべき合併症である。なぜなら、本症例は、3週前に上腕骨顆上伸展型骨折、本日ギプス固定を除去し、後療法開始の指示を主治医から受けている状態であるため。また、骨化性筋炎は外傷後や手術後に、過度なストレッチ・マッサージで筋肉内に異所性骨化を生じる病態である。
4.× フォルクマン(Volkmann)拘縮より優先されるものが他にある。なぜなら、本症例は、本日ギプス固定を除去しているため。フォルクマン拘縮は、急性期(整復やギプス固定時の血行障害)に生じるものである。
・フォルクマン拘縮とは、前腕屈筋群の虚血性壊死と神経の圧迫性麻痺により拘縮を起こすものである。
問題103.58歳の男性。自転車で走行中に転倒し来所した。左上腕部の腫脹と変形を呈していた。近医で撮影した単純エックス線写真を下に示す。受傷直後から、母指・示指・中指の背側付近に感覚障害があった。
まず行うべき固定肢位の組合せはどれか。

1.肩関節外転位:手関節伸展位
2.肩関節外転位:手関節屈曲位
3.肩関節内転位:手関節伸展位
4.肩関節内転位:手関節屈曲位
解答1
解説
・58歳の男性(自転車で走行中に転倒)。
・左上腕部の腫脹と変形を呈す。
・単純エックス線写真:上腕骨骨幹部骨折の疑い
・受傷直後:母指・示指・中指の背側付近に感覚障害(橈骨神経麻痺を示唆)があった。
→ほかの選択肢が消去される理由もあげられるようにしよう。
1.〇 正しい。肩関節外転位:手関節伸展位がまず行うべき固定肢位の組合せである。本症例は、橈骨神経麻痺を伴う上腕骨骨幹部骨折が疑われる。
・肩関節外転位(70~80°):三角筋・橈骨神経の緊張を緩和し、さらなるズレを防ぐことができる。
・手関節伸展位(背屈位):橈骨神経麻痺による下垂手を防ぎ、拘縮予防につながる。
〇橈骨神経麻痺とは、母指背側の感覚障害と上腕三頭筋・腕橈骨筋・長、短橈側手根伸筋、総指伸筋などの伸筋群の麻痺(下垂手)を認める。感覚領域は、親指から中指の背側、手背の橈側(親指側)、前腕の背側、上腕の背側と外側である。
2.× 肩関節外転位:手関節屈曲位
3.× 肩関節内転位:手関節伸展位
4.× 肩関節内転位:手関節屈曲位
これらより優先される固定肢位がある。

(※引用:「上腕骨骨幹部骨折について」がくじ家のホームページ様より)
問題104.25歳の男性。スキージャンプ競技中、着地でバランスを崩し受傷した。右股関節は屈曲、外転、外施位に弾発性固定され、大転子部の突出は触知不能となっている。
神経損傷を合併したときの感覚障害が現れるのはどこか。

1.a
2.b
3.c
4.d
解答2
解説
・25歳の男性。
・スキージャンプの着地でバランスを崩し受傷。
・右股関節は屈曲、外転、外施位に弾発性固定された。
・大転子部の突出は触知不能(股関節前方脱臼の特徴)。
→ほかの選択肢も消去できる理由をあげられるようにしよう。本症例の場合、股関節前方脱臼の恥骨下脱臼が疑われる。
1.× aは、外側大腿皮神経の支配領域である。
2.〇 正しい。bが、神経損傷を合併したときの感覚障害が現れる。なぜなら、恥骨下脱臼は、閉鎖神経が損傷を受けやすいため。閉鎖神経障害により、大腿内側の感覚低下や内転筋弱化がみられる。
3.× cは、大腿神経(内側下腿皮枝)の支配領域である。
4.× dは、坐骨神経の支配領域である。
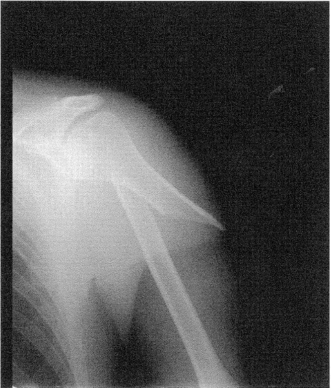
問題105.50歳の男性。右肩痛を訴えて来所した。10年前に柔道で負傷したが放置していた。最近、右肩に力を入れると痛みが走り、肩を使うと次第に痛みが強くなる。近医で単純エックス線検査を受けたところ、図のような所見であった。
検査で陽性となるのはどれか。

1.サルカスサイン
2.ライトテスト
3.アドソンテスト
4.インピンジメントサイン
解答4
解説
・50歳の男性(右肩痛)。
・10年前:柔道で負傷したが放置。
・最近:右肩に力を入れると痛みが走り、肩を使うと次第に痛みが強くなる。
・単純エックス線検査:上腕骨頭が上方に偏位しており、肩峰との間に間隙が狭い。
→ほかの選択肢が消去できる理由をあげられるようにしよう。
1.× サルカスサインとは、反復性肩関節脱臼などの肩関節不安定性を評価する検査である。肩関節外転外旋位で、上腕骨頭を後方から前方へ押し出すストレスをかけた際の不安感を確認する。ストレスをかけた際に不安感や怖さを感じたら陽性である。
2.× ライトテストの陽性は、胸郭出口症候群において陽性となる。座位で両側上肢を挙上(肩関節を外転90°、外旋90°、肘関節90°屈曲)させると、橈骨動脈の脈拍が減弱する。
3.× アドソンテストの陽性は、胸郭出口症候群を疑う。患者の頭部を検査側に回旋させ、患側上肢を伸展・外転位に保持し、橈骨動脈の拍動を確認したのち、患者に頭部を伸展・深呼吸させる。そして、再び橈骨動脈の拍動を確認する。
4.〇 正しい。インピンジメントサインは陽性となる。なぜなら、肩関節を挙上したときに烏口肩峰アーチ下で腱板(特に棘上筋腱)が肩峰に衝突し、疼痛を誘発する可能性が高いため。
インピンジメントの検査には、①Neerテスト、②Hawkinsテストがある。①Neerテスト(ニアテスト)は、患者の後側方に立ち、一方の手で肩甲骨を保持し、もう一方の手で上肢(回内位)を最大挙上させ、大結節を肩峰前縁に圧迫させる。挙上90°~120°で疼痛が誘発されれば陽性である。②Hawkinsテスト(ホーキンズテスト)は、患者の腕を90度まで上げ、肘を90度に屈曲させ、強制的に肩関節を内旋し、痛みの有無を調べる。
肩峰下インピンジメントとは、上腕骨大結節と棘上筋腱停止部が、烏口肩峰アーチを通過する際に生じる、棘上筋腱の機械的圧迫のことである。この機械的圧迫は棘上筋腱に集中して発生する。つまり、肩の近くの関節の細いところで、骨同士の隙間が、こすれがあっている状態である。 原因として、年齢や疲労、姿勢の影響で動きの連携がとれずに衝突するとされている。炎症や出血を起こす。
国試オタク 