この記事には広告を含む場合があります。
記事内で紹介する商品を購入することで、当サイトに売り上げの一部が還元されることがあります。
問題51.止血法と適応との組合せで正しいのはどれか。
1.緊縛法:内臓出血に行う。
2.電気擬固法:大血管の出血に行う。
3.指圧法:動脈の末梢側を圧迫する。
4.圧迫タンポナーデ:びまん性出血に行う。
解答4
解説
1.× 緊縛法は、「内臓出血」ではなく四肢の動脈出血に行う。
・緊縛法とは、止血法でも止血困難な場合(四肢からの出血)に用いる方法である。 出血している四肢の傷口より心臓に近い場所を止血帯などで強く縛り止血する。
2.× 電気擬固法は、「大血管」ではなく小血管(毛細血管)の出血に行う。
・電気凝固法とは、電流による熱で蛋白を凝固させて止血するものであり、小血管の出血(例:皮膚、粘膜、肝切除時など)に適応となる。
3.× 指圧法は、動脈の「末梢側」ではなく中枢側を圧迫する。なぜなら、動脈は、心臓から末梢へ血液を送る血管であるため。したがって、中枢側を圧迫しないと血流が止まらない。
4.〇 正しい。圧迫タンポナーデ:びまん性出血に行う。
・びまん性出血とは、毛細血管・小血管からにじむような出血のことである。血管結紮や電気凝固では止血しきれないため、ガーゼや止血材で圧迫して凝固を促進し、自然止血を待つ方法が有効である。
・圧迫タンポナーデとは、ガーゼやスポンジなどを出血部位に詰め、外側から持続的に圧力をかけることで血管を圧迫し、出血を抑える手技である。
問題52.症候性てんかんの原因とならないのはどれか。
1.頭部外傷
2.脳腫瘍
3.群発頭痛
4.脳梗塞
解答3
解説
てんかんとは、脳の神経の電気信号が過剰に発射され、意識障害やけいれん発作を繰り返す病気である。
1.〇 頭部外傷は、症候性てんかんの原因となる。なぜなら、頭部外傷により脳実質が損傷し、瘢痕化や脳萎縮が局所的な異常放電の起点となるため。
・症候性てんかんとは、脳腫瘍や脳血管障害などが原因となって起こるものである。
2.〇 脳腫瘍は、症候性てんかんの原因となる。なぜなら、腫瘍が脳実質を圧迫・浸潤することで神経細胞の異常興奮を引き起こすため。特に、大脳皮質近傍の腫瘍(前頭葉・側頭葉)では発作を起こしやすい。
3.× 群発頭痛は、症候性てんかんの原因とならない。なぜなら、群発頭痛は、脳実質には器質的障害がないため。
・群発頭痛とは、数週間から数か月ほどの間、片方の目の周りや頭の前側や後ろ側の辺りが毎日のように強く痛くなることである。はっきりとした原因は分かっておらず、体内時計の乱れなどが関係しているのではないかと考えられている。
4.〇 脳梗塞は、症候性てんかんの原因となる。なぜなら、脳梗塞による虚血や壊死部位が瘢痕化し、異神経細胞の異常興奮を引き起こすため。
・脳梗塞とは、何らかの原因で脳の動脈が閉塞し、血液がいかなくなって脳が壊死してしまう病気である。どの動脈による閉鎖なのかによって、症状は異なる。
問題53.交通事故の受傷機転と損傷部位との組合せで正しいのはどれか。
1.ハンドル外傷:縦隔損傷
2.フロントガラス外傷:骨盤損傷
3.ダッシュボード外傷:頸椎損傷
4.シートベルト外傷:下腿損傷
解答1
解説
1.〇 ハンドル外傷:縦隔損傷
なぜなら、交通事故で胸部がハンドルに強く押しつけられると、胸骨や肋骨の骨折だけでなく、背後にある縦隔臓器(心臓・大動脈・気管・食道)が圧迫・剪断されて損傷することがあるため。
場合によっては心タンポナーデや大動脈損傷といった致命的損傷を伴う。
・縦隔とは、左右の肺の間に位置する部分のことを指す。心臓、大血管、気管、食道、胸腺などの臓器がある。縦隔の区分と、そこに発生しやすい代表的な腫瘍として、
・上縦隔:甲状腺腫
・前縦隔:胸腺腫瘍(胸腺腫・胸腺嚢胞(のうほう)・胸腺癌)、奇形腫、胚細胞性腫瘍
・中縦隔:心膜嚢胞、気管支原性腫瘍、リンパ腫
2.× フロントガラス外傷は、「骨盤」ではなく顔面・頭部損傷が起こる。なぜなら、フロントガラス外傷は、衝突時に上体が前方に投げ出され、頭部や顔面がガラスに衝突して発生するため。
3.× ダッシュボード外傷は、「頸椎」ではなく下肢(特に膝関節や大腿骨)損傷が起こる。
・ダッシュボード外傷とは、衝突時に膝がダッシュボードにぶつかることで、大腿骨頭が後方に押されて股関節後方脱臼や膝蓋骨骨折、後十字靭帯断裂を起こす外傷である。
4.× シートベルト外傷は、「下腿」ではなく胸腹部損傷が起こる。なぜなら、シートベルトは胸部・腹部を横切って固定するため。強い衝突時にベルトが食い込み、腹腔内臓器(腸管・脾臓・膵臓など)や胸部臓器を圧迫する。
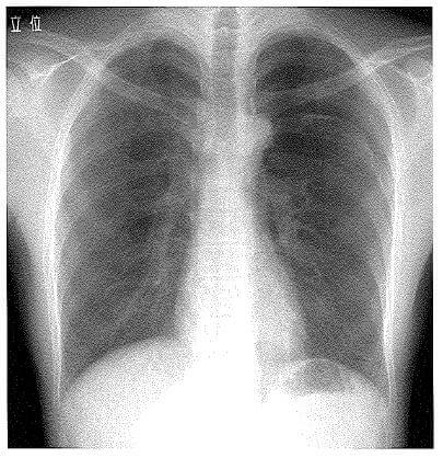
問題54.58歳の男性。肩こりが強いため鍼治療を受けていた。いつものように鍼治療を受けて帰宅したが、左胸部痛が出現したため救急外来を受診した。発熱はない。単純エックス線写真を下に示す。
この病態で正しいのはどれか。

1.狭心症
2.大動脈瘤破裂
3.胸膜炎
4.気胸
解答4
解説
・58歳の男性(肩こりが強い)。
・鍼治療後:左胸部痛が出現した。
・発熱はない。
・単純エックス線写真:左上胸の肺野が全体的に黒く(透過性亢進)、血管影が消失。
→ほかの選択肢が消去できる理由も上げられるようにしよう。
1.× 狭心症より優先されるものが他にある。なぜなら、本症例の単純エックス線写真との症状が合致しないため。狭心症は、単純エックス線写真の所見として映らないことが多い。
・狭心症とは、心臓に血液を供給する血管の狭窄により、心筋が虚血(酸素不足)状態になることによって生じる病気である。治療は、血管を拡張させる薬(硝酸薬)や、狭窄の原因となる動脈硬化や血栓を予防する薬(抗血小板薬)を用いる。
2.× 大動脈瘤破裂より優先されるものが他にある。なぜなら、本症例の単純エックス線写真との症状が合致しないため。大動脈瘤破裂では、縦隔陰影の拡大が主な所見がみられる。
・大動脈瘤破裂とは、胸腔内や後腹膜への大量出血によって縦隔が広がる疾患である。
3.× 胸膜炎より優先されるものが他にある。なぜなら、本症例の単純エックス線写真との症状が合致しないため。胸膜炎は、胸膜の炎症であり、滲出液が貯留するため白っぽい陰影として写る。
・胸膜炎とは、肺を包んでいる膜(胸膜)が炎症を起こす病気である。胸膜は肺と胸の壁の間にあり、呼吸するときに肺が滑らかに動くよう助けている。その膜が炎症でこすれ合うと、胸の痛みや深呼吸での苦しさが出る。原因は感染や他の病気に伴うことが多い。
4.〇 正しい。気胸が最も疑われる。なぜなら、鍼治療後に片側胸痛が出現し、画像で該当側の肺の虚脱と胸腔内の透過性亢進を認めるため。鍼による肺穿刺が原因で医原性気胸を発症していると考えられる。
【原発性自然気胸】
原発性自然気胸とは、肺疾患のない人に明らかな原因なく起こる気胸のこと。通常、肺のややもろくなった部分(ブラ)が破裂した際に発生する。特徴として、40歳未満で背が高い男性の喫煙者に最もよくみられる。ほとんどの人が完全に回復するが、最大で50%の人に再発がみられる。
【続発性自然気胸】
続発性自然気胸とは、基礎に肺疾患がある人に発生する気胸のこと。最も多いものは、慢性閉塞性肺疾患(COPD)のある高齢者である。他にも、嚢胞性線維症、喘息、ランゲルハンス細胞組織球症、サルコイドーシス、肺膿瘍、結核、ニューモシスチス(Pneumocystis)肺炎など、その他の肺疾患の患者でもみられる。特徴として、基礎に肺疾患があるため、原発性自然気胸に比べて症状や治療成績は一般に悪くなる。再発率は、原発性自然気胸と同程度である。
問題55.造影剤非使用のMRI撮影で注意を要する患者はどれか。
1.腎機能低下
2.肝機能低下
3.心臓ペースメーカー装着
4.中心静脈カテーテル留置
解答3
解説
1.× 腎機能低下は、特に問題にならない。なぜなら、MRI撮影そのものは磁場を利用して画像を得るため。一方、腎障害が問題になるのは、造影MRI(ガドリニウム使用)や造影CT(ヨード造影剤)のときである。
2.× 肝機能低下は、特に問題にならない。なぜなら、MRI撮影そのものは磁場を利用して画像を得るため。一方、肝機能低下が問題になるのは、肝特異的造影剤(例:プリモビスト)を使うのときである。
3.〇 正しい。心臓ペースメーカー装着は、造影剤非使用のMRI撮影で注意を要する患者である。むしろ、原則禁忌(または厳重注意)である。なぜなら、MRIの強力な磁場と高周波電磁波がペースメーカーの金属部品やリード線に作用し、誤作動や発熱、組織損傷などの危険があるため。
4.× 中心静脈カテーテル留置は、特に問題にならない。なぜなら、MRI撮影そのものは磁場を利用して画像を得るため。ただし、古い金属製カテーテルや留置針などがある場合は事前確認が必要である。
核磁気共鳴画像法(MRI)とは、核磁気共鳴現象を利用して生体内の内部の情報を画像にする方法である。治療前にがんの有無や広がり、他の臓器への転移がないかを調べたり、治療の効果を判定したり、治療後の再発がないかを確認するなど、さまざまな目的で行われる精密検査である。
【MRI検査の禁忌】
①体内の電子電機部品(ペースメーカ、移植蝸牛刺激装置(人工内耳)、植込み型除細動器、神経刺激器、植込み型プログラマブル注入ポンプ):MRI対応型もあるためしっかり確認する。
②素材の確認できない脳動脈クリップ:MRI対応型もあるためしっかり確認する。
③目や脳など特定の重要臓器に迷入した鉄片などの強磁性体の破片
④眼部のインプラントや材料で強磁性金属を使用しているもの
⑤磁場によって活性化するもの(磁力で装着する義眼、磁石部分が脱着不能な義歯など)
⑥目のメークアップ用品、カラーコンタクト
⑦入れ墨
⑧補聴器
⑨いくつかの管腔内デバイス
⑩ニトログリセリン真皮浸透絆創膏
国試オタク 